Sonríe con
confianza
Descubre una experiencia dental diferente, donde el cuidado va más allá de los tratamientos.Utilizamos tecnología avanzada para ofrecerte soluciones cómodas y seguras.

Cuidamos tu sonrisa con tecnología avanzada y atención personalizada para toda la familia.
Mis servicios
Odontología general
Cuidado integral de tu salud bucal con tratamientos preventivos y curativos.
Odontología estética
Transforma tu sonrisa con tratamientos que combinan salud y belleza.
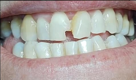
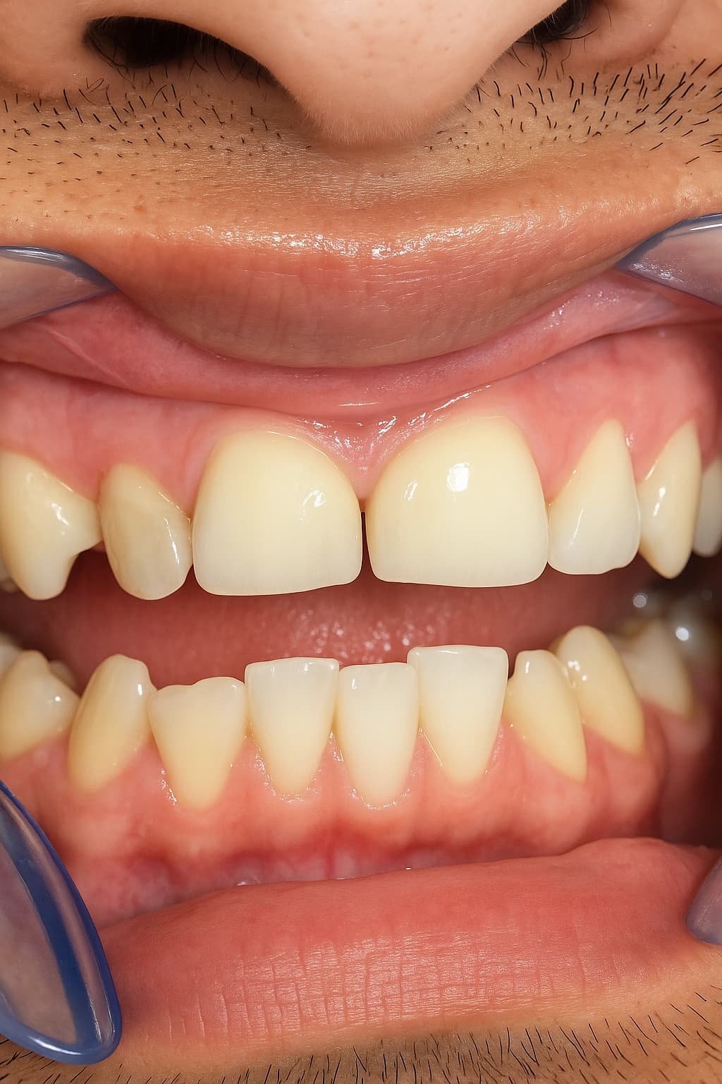
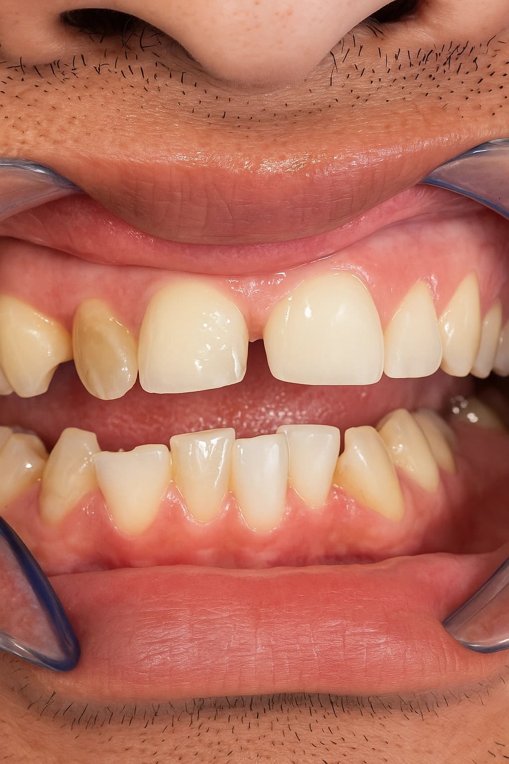
Operatoria dental
Restaura la función y estética de tus dientes con técnicas conservadoras.
Carillas
Láminas ultra delgadas que transforman tu sonrisa instantáneamente.
Prótesis
Reemplaza dientes perdidos devolviendo función y estética a tu sonrisa.
Cirugía
Procedimientos quirúrgicos especializados para casos complejos.
Periodoncia
Tratamiento especializado de encías y estructuras de soporte dental.
Armonización orofacial
Mejora la estética facial con tratamientos no invasivos integrales.
Arreglos de caries
Eliminación y restauración de caries con materiales estéticos modernos.
Perno y corona
Restauración completa de dientes muy dañados o tratados con endodoncia.
Odontopediatría
Cuidado dental especializado para bebés, niños y adolescentes.
Ácido hialurónico
Rejuvenecimiento facial y aumento de labios con resultados naturales.
Botox
Tratamiento de líneas de expresión y rejuvenecimiento facial no invasivo.

Nuestros pacientessonríen
"Siempre le tuve miedo al dentista, pero desde que encontré esta clínica, todo cambió. El trato fue increíblemente amable, me explicaron cada paso del tratamiento y me sentí en buenas manos todo el tiempo. Ahora sonrío con confianza. ¡Gracias por devolverme la seguridad en mí misma!"
Laura M.
Transformando sonrisas
Cambiando vidas













